![]()
Soft tissue ultrasounds in Leicester are a vital diagnostic tool for identifying and managing a wide array of soft tissue concerns.
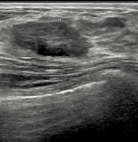
As a Consultant Radiologist with more than 35 years of experience, I provide specialist ultrasound imaging designed to investigate lumps, bumps, injuries and even detect foreign bodies under the skin. Many patients present with cystic lesions, such as ganglions or bursitis, and with this advanced imaging, I am able to confidently tell the difference between these and solid growths, such as lipomas. Ultrasound is also good for assessing more sinister solid lesions and guide further management.
Choosing a private ultrasound in Leicester through Dr D Kathuria means your scan is performed directly by a consultant, ensuring accuracy and expertise. Soft tissue ultrasounds also support accurate management for less clear findings. Most scans are available on the same day, so your concerns are addressed quickly and efficiently, reducing anxiety and unnecessary waiting. NHS referrals, GP referrals, and private individuals are all welcomed.
Preparation for scan
No special preparation is needed before your soft tissue ultrasound, making it an accessible and straightforward investigation. For your comfort, wear loose, comfortable clothing to allow easy access to the lump or area being assessed. Depending on the scan location, you might be asked to change into a hospital gown, which the clinic will provide. Please remove any jewellery that may be present at the site of the scan, which can be done upon arrival. At Dr D Kathuria, I ensure your experience is as comfortable and stress-free as possible while maintaining the highest standards of care and privacy throughout your appointment.
For more information on Scan Preparation click here.
Benefits of an ultrasound scan
- Non-Invasive and Painless
Soft tissue ultrasounds in Leicester involve no incisions or discomfort, providing a pain-free experience for all patients. - No Ionising Radiation
This imaging method uses sound waves, not radiation, so it is considered extremely safe, including for children and those who may be pregnant. - Rapid and Accurate Results
With Dr D Kathuria, you receive your ultrasound results the same day, enabling prompt decisions and next steps in your care. - Expert Consultant Led Scans
Every scan is performed by a fully qualified Consultant Radiologist, FRCR registered and GMC accredited, ensuring specialist analysis and reporting. - Versatile Applications
Ultrasound is effective for evaluating cysts, solid tumours, ganglions, hand, wrist, and salivary gland lumps, helping to guide further steps if needed. - Accessible Private Ultrasound in Leicester
Quick appointment booking and reduced waiting times offer peace of mind for both private patients and those referred by GPs or the NHS.
Choosing a soft tissue ultrasound with a specialist in Leicester means trusted diagnosis, personalised attention, and efficient onward care.
FAQs
What is a soft tissue ultrasound and when is it used?
A soft tissue ultrasound is a non-invasive scan used to assess lumps, bumps, injuries, cysts, and foreign bodies under the skin.
Who performs the soft tissue ultrasounds in Leicester?
All soft tissue ultrasounds are performed by Dr D Kathuria, a consultant radiologist with over 35 years of experience.
How quickly can I get results from my soft tissue ultrasound?
Most patients receive same day results for their soft tissue ultrasound, minimising waiting times.
Do I need to prepare before my soft tissue ultrasound scan?
No special preparation is needed. Just wear loose clothing and remove any jewellery near the area to be scanned.
Are private ultrasound scans in Leicester suitable for NHS or GP referrals?
Yes, private ultrasound scans are available for NHS referrals, GP referrals, and private individuals in Leicester.
What types of conditions can soft tissue ultrasounds detect?
They can detect lipomas, cysts, ganglions, bursitis, injuries, foreign bodies, and help guide further investigations if needed.
Book your scan with confidence
If you need a lumps and bumps ultrasound or are seeking a private, accurate soft tissue ultrasound in Leicester, please email info@thehealthsuite.co.uk or call on 0116 241 0010. Book directly for same day results with Dr D Kathuria.
![]()
Ultrasound Services
Legal
GMC Registered, Private Ultrasound Clinic, Leicester